企业新闻 行业动态 技术资讯

技术资讯

技术资讯

Technical information

2017.02.13

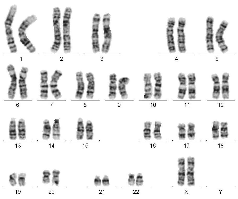
不是所有的染色体异常都能被NIPT检出!

不是所有的染色体异常都能被NIPT检出!

2017.01.06

国内三代测序技术瞄准遗传病诊断

国内三代测序技术瞄准遗传病诊断

2016.12.22

无创产前诊断带来的问题

无创产前诊断带来的问题

2016.12.22

高龄孕妇产前诊断技术大PK

高龄孕妇产前诊断技术大PK

2016.12.22

唐筛、无创、羊穿,该如何选择?

唐筛、无创、羊穿,该如何选择?

2016.12.22

【干货】肿瘤液态活检之CTC

【干货】肿瘤液态活检之CTC

2016.12.09

肿瘤细胞遗传学——致病关键在于染色体畸变

肿瘤细胞遗传学——致病关键在于染色体畸变
<123>
到第
确定
加载更多
2024年新澳门精准免费大全